脊柱管狭窄症 地域中核病院での入院・手術記録 
年 月 日  治 療 記 録 
2012.4.15   山梨県韮崎市教育委員会主催の第12回 武田の里ウオーク  武田ロマン街道エンジョイウォーキングに参加する。

 

 * ゼッケンをクリック
2012.5.8.   ゴールデン・ウイーク中から腰に痛みを感じ、少し歩くと太腿と脹脛が痺れ、継続して歩くことができなくなった。(私の場合、300
m位い歩くと痺れで歩く事が出来ず、5分ほど休むと痺れが取れ歩く事が出来るようになる。この繰り返しで苦しんだ。この症状を間欠
跛行・・・カンケツハコウと呼んでいますが、脊柱管狭窄症・・・セキチュウカンキョウサクショウ、の典型的な症状です。)
 家から近いH整形外科で診察を受け、レントゲン撮影等の結果から「坐骨神経痛」と宣告され、投薬とリハビリを受けることになった。
 リハビリは
理学療法(電流型低周波治療器)を使用し、1回10分の電流を流す事と共に、牽引治療器による筋緊張の改善、血行を促
進し痛みを改善することになりました。

 投薬は、痛み止め「リリカカプセル75mg」1日3回毎食後。血龍を改善する「オパプロスモン5ug」1日3回毎食後に服用すること
になりました。
(2週間分を処方)
 なお、リハビリは週1回を目標とすることにした。
 2012.5.~2012.12   2012年5月14日からリハビリ・投薬を続ける。また9月20日から6回にわたり「神経ブロツク」注射を受ける。
 2012年9月20日にH整形外科の関連病院のI脳神経外科でMRI撮影を行う。後日、H整形外科で読影の「腰部脊柱管狭窄症」と診断される。
 また、2012年10月から血行促進のための点滴を隔週で受ける。
 2013.1.21  H整形外科よりの紹介状並びに診察予約により、地域中核病院Y県立中央病院整形外科で診察を受ける。H整形外科から貰った「診療
・検査予約票」の写しはの通り。
 なお、診療予約時間は午前10時30分、担当医師はC先生でした。

 診察で腰のレントゲン撮影を指示され、撮影後の再診察で、2月14日13時30分MRI検査を受けることで予約する。
 また、2月20日に脊髄造影検査を行うことで、2泊3日の検査入院することになった。入退院窓口で手続きを行
う。
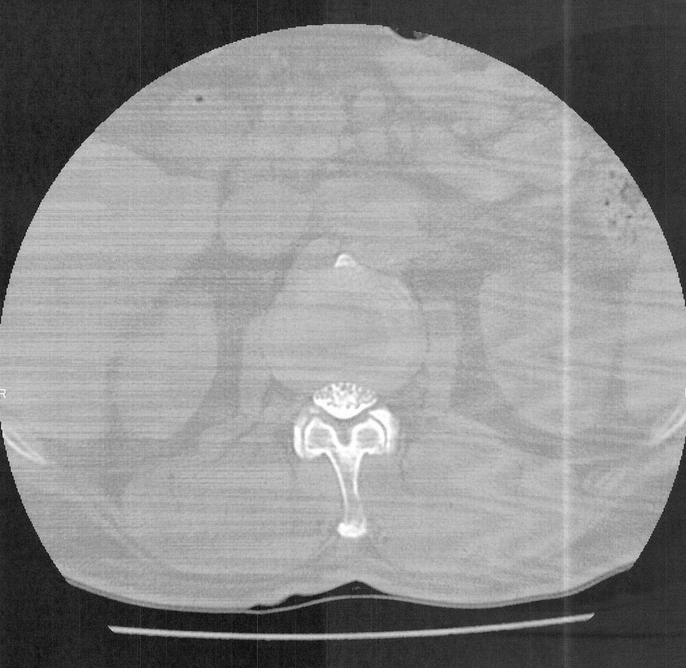
 2013.2.14  13時30分よりY県立中央病院MRI検査を受ける。
 検査後の診察で脊柱の2番から5番の間の3ケ処で、狭窄がおきておりその範囲は約10cmで、手術をする場合は約15cm切るとの事。
MRI検査の結果の画像はの通り。
 具体的には検査入院の結果で判断するとの事。
 診察後、看護師より入院に当たっての諸注意の説明を受ける。

 
入院診療計画書」「入院のご案内」はクリックしてください。
 2013.2.20
 検査(ミエロ)のためY県立中央病院に2泊3日で入院する。
 2月20日、午前10時1階の入退院窓口で入院で来院した旨を連絡しロビーで待つ、ほどなく7B病棟の看護師が迎えに来る。
 本日整形外科病棟に入院するのは3名でした。看護師の説明では入院する部屋の準備が整っていないため、談話室でしばらく待ってほ
しいとの事、結局15分ほど待ち763号室に案内される。
 部屋は4人部屋でスペースも十分あり、トイレ、洗面台も室内にあるため頗る使いやすい。本日はこの部屋に3名と言うことでベット
の場所も特に決まっていず、患者の希望で決まりました。幸いなことに私は窓側のベットで明るく、病室めいたイメージは払しょくされ
ました。
 今回、私は"検査入院"ですので、最初は病人らしくなく困ってしまいましたが、病院に依頼しておいた"病衣"にきかえ、その上にカー
デガンを覇おってベットの上で読書タイムです。
 正午に、お茶を配ってくれますので、持参したマグカップを準備してお茶を入れて貰いました。その後で昼食を運んできてくれました
が、私の場合特に内臓に異常がないため":健常食"で、メニューはご飯・味噌汁・サラダ・魚の煮物・デザートとそれほど豪華では有り
ませんでしたが、ご飯の量だけは普段私が食ベる量の倍はあり、これでは体重が増えてしまうと心配です。
 午後2回の体温と血圧測定がありました。・・・血圧の上が160くらいあり若干高めでした。
 夕飯は午後6時で、例によってお茶をくばってくれ、その後ベットまで配膳してくれました。夕食の内容をデジカメに記録するのを失念。
 午後7時に明日の検査のためシャワーを使いましたが、風呂場の入口に使用者の予定表があり、午後4時頃から使えるようでしたが、
私の場合看護師が遅く予約をとてくれたため一番最後でした。
 午後9時30分消灯、長い一日でした。
 2013.2.21
 朝食は午前8時から、私としては遅めでしたが、特にお腹も減っておらず寧ろ運動不足で、精神的に胃がもたれ気味です。
 メニューは食パン2枚、マーカリン・ママレード・サラダ・ソーセージ・牛乳・デザートで、やはり何時も食パン1枚の私には多すぎです。

 午前9時に今日の検査のための点滴を始めましたが、終わるまで14時間くらいかかりました。

 午前2回検温と血圧測定を受けました。
 昼食は検査が終了してからということでしたが、一食位抜いても特に問題ありませんので、昼食は断りました。・・・一応準備してあるとのことでした。

 午後2時に点滴スタンドをもったままで、1階のレントゲン室へ担当看護師が案内してくれました。
 検査は脊髄に造影剤を注入しレントゲン撮影を行うのですが、局部麻酔注射後に造影剤を注入する針を差し込みましたが、細菌感染を防ぐため念
入りな消毒を行った後、整形外科のC担当先生が造影剤を注入し撮影個所を指示し10枚ほど撮影したと思います。

 レントゲン撮影の次はMRI撮影ですが、移動のためベットに乗り横臥したまま、MRI室に運ばれましたが、MRI撮影機にベットを横付けし、その後
撮影台に乗り何枚か撮影しました。
 MRI撮影の終了後はベツトに移り、そのままベツトを7FのB病棟まで運ばれました。
 テレビで良く見るシーンを実際に自分がその立場になると、気恥ずかしさが先行してしまいました。 
 病室に戻ったのは午後4時ころだと思いますが、残しておいてくれた昼食は食べられず、デザートの苺だけ食べました。
 午後5時に担当のC先生が今日の検査の結果の説明のために来てくれました。
 病室のベットは、頭部を約30度上げ、頭をそれ以上、上げてはいけないと厳重に注意されているため、ベツトから立ち上がることは禁止され、
そのためトイレはベツトに寝たままで「し便」に用を足すという苦しい状態でした。
 ベットの脇に"し便"がつるされているので、小は何とかベット上でこぼさず用をたせましたが、大は幸いにも排便がなかったので看護師を呼ばずに
済みました。
 点滴液には利尿効果を促す成分が含まれているので、40分おき位にトイレに行きたくなり、3~4回で"しびん"が満杯になりますが、心得
たものでその前に看護師が、トイレに捨ててくれましたので、助かりました。
 午後9時30分消灯、辛い一日でした。
 2013.2.22  午前8時からの朝食も終わり、退院のための準備をする。
 家族には午前9時過ぎに迎えに来るよう連絡しておいたので、ノンビリ時間の過ぎるのを待つ。
 午前9時半ころ家族が迎えに来る。ナースセンターに立ち寄り担当してくれたK看護師にお礼を言い1Fの会計窓口で清算し帰宅する。
 「退院療養計画書」、画像    はクリツクしてください。
 2013.2.28  午後1時整形外科外来で診察を受ける。
 2月21日に受診した検査結果について説明を受ける。
 造影剤注入レントゲン検査の結果の画像は③の通りで、2か所の脊柱で造影剤が下に流れていないため、写つていないとのことで、ここで脊柱
管が特に狭窄状態をおこしているとの説明を受ける。
 4月12日に正式に手術をすることで、3月13日以降に、1回200ccの自己採血を2回行うこととし、3月13日日に合わせて"心電図""肺のレントゲン
撮影""簡易呼吸機能"の検査を受診することとした。(この検査がパスしないと手術はできないとの事 !
)
 2013.3.13  午後1時に"心電図検査""胸部レントゲン撮影""簡易呼吸検査"を順次受ける。
 午後1時からの整形外科外来診察の前に、看護師から入院に関わる諸説明とこれまでのインホームド・コンセントの写しを貰う。
 午後1時30分に整形外科外来でC先生の診察を受け、今日受けた検査結果から手術は問題ないとのこと、インホームド・コンセントの写しを貰う。
 午後3時20分から採血室で200ccの"自己採血"を行い無事終了する。
 2013.3.18  12時30分より整形外科外来処置室で、コルセツトの寸法をとる。
 コルセツトの採寸は、東京都文京区本郷3-4-3 ㈱H義肢製作所の担当者でした。
 2013.3.25
 12時30分に整形外科外来処置室で、出来上がったコルセットを装着する。㈱H義肢製作所の担当者が装着してくれました。
 14時30分にC先生の診察を受け。コルセツトについての説明も受ける。今回装着するコルセツトはの通りです。
 2013.3.27
 午後2時40分から採血室で200ccの"自己採血"を行い、これで2回の採血を終わり、手術用の血液が準備できました。
 前回の採血時もそうでしたが、採血後にまれに貧血等により不具合の出る方もいると言うことで、この病院では万全を期して採血終了後に、整形
外科外来の看護師が車いすで迎えに来てくれました。
 帰り際、偶然でしたが整形外科外来の受付で、担当のC先生に出会い手術に向けての簡単な話をすることができました。
2013.4.11   手術入院のため、午前930分に家をでる。
 病院までは車で約10分ほどの距離ですので945分に県立中央病院に到着。
 入院退院窓口で手続きを終わり、ロビーで待機。
10時過ぎに7B病棟の担当看護師が迎えに来る。
 病室は757号室(手術後1週間は個室でと希望し手配してもらった。)
 担当看護師はKさん、Hさん。

 主治医 C先生、以外の先生 F先生。
 午前11時、血圧、体温、酸素量の測定。

  411日現在の「入院計画書」の手術内容、
 412日、午前10時に手術、推弓切除術+脊推固定術+骨移植術
 入院期間、約3週間の予定。
 入院後、1階の売店でT字帶を購入。(購入し準備したが使わなかった。)
 各ベットにはテレビと冷蔵庫が用意されていましたが、利用するには「テレビカード」を購入しセットする必要があるた
 め、エレベーター・ホール前デールームの自動販売機で、取り合えず1枚(千円)購入する。
 *病室は西側で、鳳凰三山甲斐駒ヶ岳、そして我が家が望遠でき、景観抜群。  

 
正午 入院後最初の昼食、 
     メニューはカレー・サラダ・さい豆の酢味噌あえ・デザート オレンジ

 午後4時、シャワーの使い方を教え得て貰う、前回も使つたので心得ており、気ままにシャワーを使う、1週間ほど身体を洗え
 ないので、洗髪もする。

 午後6時、
    夕食、ご飯、薩摩芋の煮付け、豚肉の炒め物、レタスのサラダ、デザート・フルーツポンチ
 担当のC先生より明日の手術について、説明 予定時間がズレ正午頃になるかもいれないとの事。

2013.4.12   本日は、手術のため1日絶食
 午前8時 本日の手術を担当する、麻酔科のM先生が診察に来る。
 
午前820分 リンゲル液の点滴を左手に接続。
 午前850分 本日の担当看護師 Mさんが挨拶に来る。
 午前1010分 血圧、体温、酸素量測定。血圧高め。
 午前1030分 看護師に手助けしてもらい浣腸。

 •午前1215分 3階の手術室に看護師に案内されて行く、手術室は7号室で、準備室で手術台にのり手術室に運ばれ、麻酔科
 M
先生の指示で頭にキャップをし、その後口にマスクを着けたのを記憶したまでは覚えていたが、それ以降の記憶は全くな
 く、手術が終わったのが午後
530分頃でした。
 今、
思い出してみると手術後に、レントゲン室で撮影した時のことが記憶の残像として、頭の隅にあります。

 自室の757号室には、ベツトに乗ったまま帰ってきましたがそれからが難渋苦行の修行のはじまりでした。ベツトでは、左
 右を砂袋で固定され、その状態で
2日間寝がえり
がうてない、苦しさわ2度とこんな手術は、受けたくないと思いました。
 もちろん、一睡もできませんでした。

2013.4.13   三度三度の食事も寝たきり状態で摂るので(ベットの頭部を30度にセットしてもらう。)、口に運ぶのも容易でなく、物を食
 べた気持ちにはとてもなりません。

 朝食はお粥でしたが、それ以降の食事では頭を30度の角度で上げても食べられるよう、おにぎりにしてくれました。
 "おしっこ"は、導尿管が接続されているため、気にしなくても自動的に排尿されているので心配ありませんでした。
 また、腰の切り口には内部からの出血を排除する"ドレーン管"が接続されており、看護師が定期的に量を計って処理してい
 ました。
 今夜も眠れず、睡眠導入剤をもらつて飲みましたが、それでも良く眠れませんでした。

 また、微熱がでて、腰の痛みもあつたので、鎮痛剤を貰って飲みました。
2013.4.14   ・午前6時45分 朝の検温他 体温 36.4度 血圧 151-75
 ・午前8時    朝食 相い変らずの三度の寝たきり状態食事は、辛いの一言である。
         食事内容 食パン、卵焼き、サラダ、オレンジ、牛乳。
 ・午前9時30分 抗生剤の点滴
 ・午前9時50分 手術部からの出血を排除する"ドレーン管"を取り外す。これで少しは体の動きが良くなると思う。
          "ドレーン管"を止めていたテープでカブレ(一種の褥瘡)が生じていたため、消毒する。
         テープでカブレは結構大きく、約3cm四方となっていました。
 ・午前11時   抗生剤の点滴
終了  
 午前12時   昼食 食事内容 おにぎり、豆の煮物、豚肉入り野菜炒め、サラダ、グレープフルーツ。   
 ・午後3時   午後の検温他、テープカブレの跡をチェック 
 ・後6時   夕食 

 ・後10時   睡眠導入剤と下剤を服用夕食
2013.4.15   ・午前6時45分 朝の検温他 体温 36.4度 血圧 151-75
 ・午前8時    朝食 相い変らずの三度の寝たきり状態食事は、辛いの一言である。
         食事内容 食パン、卵焼き、サラダ、オレンジ、牛乳。
 ・午前9時30分 抗生剤の点滴
 ・午前9時50分 手術部からの出血を排除する"ドレーン管"を取り外す。これで少しは体の動きが良くなると思う。
          "ドレーン管"を止めていたテープでカブレ(一種の褥瘡)が生じていたため、消毒する。
         テープでカブレは結構大きく、約3cm四方となっていました。
 ・午前11時   抗生剤の点滴
終了  
 午前12時   昼食 食事内容 おにぎり、豆の煮物、豚肉入り野菜炒め、サラダ、グレープフルーツ。   
 ・午後3時   午後の検温他、テープカブレの跡をチェック 
 ・後6時   夕食 

 ・後10時   睡眠導入剤と下剤を服用夕食
 これ以降はタブレツトに不具合が生じ、記録が取りだせないため退院までの病室での記録

が整理できませんでした。
 退院は4月26日でした。
 手術後4日目には体に取り付けられていたチューブ類はすべて取り外され、やっと自由の身になれる。
 それ以降は傷口の回復状況のチェックと1週間に一度のレントゲン撮影だけで、退屈な日

が続く。
 手術後、10日頃に抜糸(実際はホッチキスの針のような金属で、創口を固定しているため、抜鈞とか言っていました。)、後日鏡で見ましたが創口は綺麗に仕上がり、跡は全く残って居ません。
 退院までの1週間はリハビリ室で1時間の歩行回復訓練が主で、いよいよ退院が現実のものとして頭をよぎりました。
 残り時間は読書タイムで過ごしました。
2013.5.1   4月26日の退院時に手術痕から右側10cmほどのところにできていた、テープかぶれの後を処置してもらうため診察を受ける。
 診察予約時間は午前12時30分からでしたが、30分ほどで遅れて処置してもらう。
(保護テープでカバーする。)
2013.5.13   手術後1ケ月診察
 退院後17日たち、自動車の運転ができるものの、コルセツトを装着していることと、前かがみになることに不自由さを感じる
ことから、家族の運転する車で病院に行く。
 診察予約時間は午前12時30分で、その前にレントゲン撮影を済ませておくことから、家を午前10時30分に出る。
 整形外科の外来受付で、予約票と診察カードを提出し受付を終え、受付で貰った予約ファイルを持って、レントゲン撮影室の
受付を終わり撮影を待つ。
 レントゲン撮終了後、再度整形外科受付に予約ファイルを提出し診察を待つ、予約時間を約1時間遅れ診察を受ける。
 5月1日に処置してもらったテープかぶれ後は、問題なく完治しているということで、保護テープを取り去る。
 診察結果は、固定金具の緩みは見られず、また、椎間板に移植した骨(薄いカーボン板ではさまれている。)にまだ若干の
ずき間があり、一体化にはもう少し時間がかかるとの事。
 右太腿の表側に痛みがあることから、「外用沈痛消炎剤・インテバンクリーム1%」を処方してもらう。S調剤薬局で25g入りを
2本受領。
2013.6.13   手術後2ケ月診察
 診察予約時間は午前10時30分で、その前にレントゲン撮影を済ませておくことから、家を午前8時30分に家を出る。
 整形外科の外来受付で、予約票と診察カードを提出し受付を終え、受付で貰った予約ファイルを持って、レントゲン撮影室の
受付を終わり撮影を待つ。
 レントゲン撮終了後、再度整形外科受付に予約ファイルを提出し診察を待つ、予約時間を約30分遅れ診察を受ける。
 診察結果は、固定金具の緩みは見られず、順調に回復しているとの事。
 右太腿の表側に相変わらず痛みがあり、湿布のため「経皮鎮痛消炎 外用薬・モスラテープ 20mg」を処方してもらう。S
調剤薬局で1袋7枚入りを5袋受領。